The American Physical Society (APS) is proud to celebrate the 125th anniversary of the Physical Review journals. To commemorate this milestone, the editors present a timeline of select papers and events that are of significance to physics and to the history of the APS. From Robert Millikan’s famous oil drop experiments to the discovery of gravitational waves, the Physical Review journals have published a wide range of important results, many of which have been recognized with Nobel and other notable prizes. The papers in the timeline, along with landmark events in the history of the Physical Review, will be highlighted on our journal websites and in social media throughout 2018.


Urey, Brickwedde, and Murphy report their discovery of deuterium, an isotope of hydrogen comprised of a proton and a neutron. Deuterium oxide, or “heavy water,” is later used during World War II in nuclear reactors. Today deuterium is widely used in nuclear magnetic resonance (NMR) experiments, as well as in many chemistry and particle physics experiments.

Anderson discovers the positron, the electron’s antiparticle, by observing tracks left in a cloud chamber by a then-unknown particle in cosmic rays. Anderson’s experiments provide the first concrete evidence for Dirac’s prediction that every fermion has an antiparticle partner with the same mass but opposite charge.

Einstein, Podolsky and Rosen (EPR) imagine a gedankenexperiment designed to point out a flaw in quantum mechanics: the theory conflicts with local realism. Experiments later vindicate quantum mechanics by confirming the violation of Bell inequalities. But the EPR paper also introduces the property now known as entanglement, which becomes the basis for the field of quantum information.

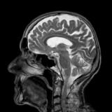
Rabi and colleagues discover the phenomenon of nuclear magnetic resonance (NMR) and measure the magnetic moment of nuclei in molecular beams. Bloch, as well as Purcell and his co-workers, later extend Rabi’s techniques to the study of nuclei in liquids and solids, which eventually makes magnetic resonance imaging (MRI) possible.


Bethe shows that two types of helium-yielding nuclear reactions could power stars: the fusion of hydrogen and the so-called carbon-oxygen-nitrogen cycle. Nine years later, Bethe, Alpher, and Gamow propose an explanation for the abundance of the chemical elements using one of the first models of the post-big-bang Universe.

Lamb and Retherford measure a small energy separation between two atomic orbitals of hydrogen that wasn’t predicted by Dirac’s theory. Bethe attributes this “Lamb shift” to interactions between the atom’s electrons and vacuum fluctuations. Within months, he describes the effect with a new “renormalization” approach that lays the foundation for quantum electrodynamics.

Working independently, Schwinger and Feynman each develops his own version of quantum electrodynamics (QED), with Feynman introducing his famous diagrams. Dyson shows that the two approaches are equivalent, and QED soon delivers unprecedentedly precise predictions—such as the electron’s anomalous magnetic moment—that are later confirmed in experiments.

Pauli had postulated the neutrino in the 1930s to explain missing energy in nuclear beta decay. In 1953 Reines and Cowan announce that they may have detected the ghostly particles using giant tanks of water placed near a nuclear reactor. They report the definitive detection of neutrinos in 1956 (in Science) and provide a full account of their experiments in 1960 (in the Physical Review).


Mirror symmetry or, as physicists call it, parity symmetry, holds the status of a sacred principle until theorists Lee and Yang show that they can explain puzzling cosmic-ray data by assuming that the symmetry is violated in weak interactions. A year later, beta-decay experiments by Wu and her collaborators prove that parity is, in fact, violated.

Nearly half a century after superconductivity was discovered, Bardeen, Cooper, and Schrieffer (BCS) provide a theory for the phenomenon in terms of electrons that pair up and condense into a single quantum state. BCS theory has been applied not only to problems in condensed matter, but also in particle and nuclear physics.

Nambu relates the smallness of the pion mass to an approximate symmetry, which leads to an important insight: the symmetry of a physical system can be different from that of the interactions among the system’s components. Such “spontaneous symmetry breaking” is ubiquitous, occurring in, for example, magnets and solids. It is also related to the theory underlying the Higgs boson.


To get past Earth’s x-ray absorbing atmosphere, Giacconi and his colleagues send up a rocket loaded with Geiger counters and make the surprising discovery of an x-ray source outside our Solar System. Giacconi is considered the father of x-ray astronomy, and his work led to the development of satellite telescopes for observing x-ray emissions from black holes and other cosmic sources.

Glauber develops the theory that describes the correlations among photons in a beam. His breakthrough is to realize that, because of quantum mechanics, the arrival of one photon in the beam affects the probability of detecting a subsequent photon. His approach proves instrumental for developing new methods in optical detection.

Cabibbo’s theoretical ideas lead to the realization that quarks of a definite mass do not necessarily have definite flavor, that is, up, down, strange, etc. Rather, they can be mixtures of different flavors. Cabibbo’s insight explains why certain particle decays are suppressed, and it introduces the now-ubiquitous notion of mixing to particle physics.

Hohenberger, Kohn, and Sham introduce density functional theory (DFT), a method that greatly simplifies calculations of the properties of molecules and solids, yet still provides high accuracy. The method uses an approximate solution to the quantum-mechanical equations of many-electron systems. Verlet soon develops the classical counterpart of DFT, a numerical method of solving Newton’s equations that is later used in computer simulations. Carr and Parrinello unify DFT and Verlet’s approach in 1985.

Englert and Higgs independently derive a model that explains why fundamental particles have mass. Their theories require the existence of a new particle, now known as the Higgs boson, which becomes a critical building block of the standard model and is finally observed nearly 50 years later at CERN’s Large Hadron Collider.

Weinberg proposes a theory of electroweak interactions, which, when extended to include quarks and the strong interactions, becomes the standard model of particle physics. The central features detailed by Weinberg are all later confirmed by experiments, including, in 2012, the existence of the Higgs boson.


Wilson’s two papers lay the foundations for the renormalization group approach, which is a mathematical framework for studying the properties of a system on various length scales. As a system makes a phase transition, the length scale over which correlations extend becomes infinite, and the renormalization group provides a powerful way to describe the correlations.



Two groups—one led by Ting and the other by Richter—discover the charm quark by producing the charm-anticharm bound state, a particle that becomes known as the J/psi. The finding is hailed as the “November Revolution” because it promotes quarks from the status of a theoretical construct to an experimental reality.



Halperin and Nelson propose that the melting of a 2D solid involves an intermediate phase with both liquidlike and solidlike properties. The discovery of this so-called hexatic phase, which is later observed in experiments and simulations, demonstrates that melting in 2D systems (like thin films) is fundamentally different from that in 3D materials.

Von Klitzing, Dorda and Pepper find that the Hall conductance of a two-dimensional electron gas at low temperature jumps in integer multiples of e2/h as an external magnetic field is increased. The discovery of this quantum Hall effect (QHE) is closely followed by Tsui, Stormer and Gossard’s observation of the fractional QHE, in which excitations have fractional charge.


Quantum theory had predicted that correlations between entangled particles exceed the value attainable by classical particles. Aspect and his colleagues confirm this prediction by performing a “Bell” test with photon pairs emitted from an atom, providing another win for the theory. Significantly, Aspect eliminates interactions among the measuring devices that had undermined the interpretation of earlier Bell tests.

Binnig, Rohrer, and their colleagues demonstrate a scanning tunneling microscope (STM), which uses an atomically sharp tip to measure a miniscule tunneling current from a material’s surface. The probe can be scanned across a material’s surface to obtain an image with atomic resolution. Binnig later teams up with Quate and Gerber to develop the related technique of atomic force microscopy (AFM).

Schechtman and colleagues cause physicists to rethink the notion of a crystal with their discovery of an alloy whose atoms are arranged with fivefold symmetry (like a pentagon) but without any repeating units. In a follow-up paper, Levine and Steinhardt dub this arrangement of atoms a “quasicrystal” and explain how it is possible.

Chu and colleagues use the radiation pressure of counterpropagating laser beams to confine atoms at a record low temperature (a few hundred microkelvin) and for up to almost a hundred microseconds. Their technique of cooling and trapping atoms leads to advances in precision atom spectroscopy and in studying quantum phases of matter such as the Bose-Einstein condensate.

Frisch, Hasslacher, and Pomeau devise a method of simulating the Navier-Stokes equations, which describe the behavior of fluids and are used in many areas of science and technology. Their approach consists of a virtual particle known as a “cellular automaton” whose movements on a hexagonal grid are related to the motions of fluid particles.

Chu and colleagues synthesize a compound of yttrium-barium-copper-oxygen (YBCO) that superconducts at 93 kelvin—a record high. This transition temperature is balmy enough to be reached with an inexpensive cryogen (liquid nitrogen), suggesting that YBCO could be suitable for practical purposes such as power lines.

Fert and Grünberg separately discover that they can significantly change the resistance between two magnetic layers by rotating one of the layers with respect to the other. This “giant” magnetoresistive effect is now used in hard drives and in spintronics devices, in which information is carried and stored via an electron’s spin, rather than its charge.

Haroche and his colleagues demonstrate the quantum superposition of macroscopic quantum states—also known as Schrödinger cat states—using photons that interact with highly excited atoms inside of a cavity. With a similar experimental setup, the team later observes the effect of quantum decoherence, a process that lies at the heart of quantum measurements.

Researchers at Japan’s Super-Kamiokande experiment provide strong evidence that atmospheric muon neutrinos spontaneously transform into tau neutrinos (and vice versa)—that is, neutrinos “oscillate.” This finding and subsequent results from the Sudbury Neutrino Observatory imply that neutrinos have mass and explain the puzzling electron neutrino deficit from the Sun.

Pendry imagines a “superlens” that would focus light beyond the limits set by classical wave optics. The proposed device would be made of materials that have a negative index of refraction. This structure amplifies evanescent waves (which normally die out), allowing for a theoretically perfect reconstruction of an imaged object.

Newman, Strogatz, and Watts develop a mathematical formalism for analyzing random graphs, which are good models for many real-world networks, such as epidemic spreading or social interactions. Their formalism applies to a more general class of graph compared with previous approaches and expands the types of problems that can be described with random-graph theory.

Scientists working at the Joint Institute for Nuclear Research in Dubna, Russia, had found hints in 2002 of a new superheavy chemical element with 118 protons. A 2006 paper from the team reports a series of experiments that confirm the new element, the heaviest ever produced in the lab. Element 118 is eventually named Oganesson in honor of one of its discoverers.

Fu and Kane predict a 3D version of a topological insulator, an exotic insulator with conducting surface states that are unusually robust even in the presence of impurities or defects. Until their prediction, a topological insulator had only been realized in 2D films. Fu and Kane show that the fascinating phase could exist in a much greater variety of materials.


The collaborations behind the Laser Interferometer Gravitational-Wave Observatory (LIGO) and the Virgo experiment report that LIGO’s sensitive interferometers have picked up a gravitational-wave signal from the merger of two black holes—the first detection of the waves that Einstein had predicted in 1916. LIGO’s success sets the stage for a new era of gravitational-wave astronomy, and it is soon followed by a joint detection with Virgo of a binary neutron star merger.
